O.A.S.I.S Wellness
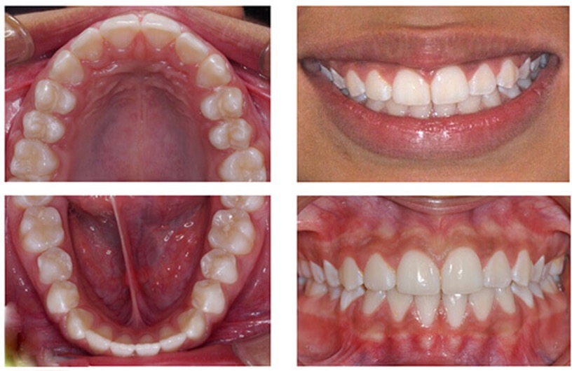
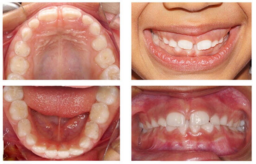
Patient Results
Explore the transformative smiles and read real success stories from our patients who have experienced exceptional results at our dental practice.
Before
After
Is Your Child's Airway Healthy?
Take Our Quick Quiz to Find Out!
Studies show that most sleep troubles in kids are linked to how their jaws grow early on. Sometimes, if a jaw doesn't grow fully, it can cause big sleep problems that might affect their health.
Take Our Sleep Quiz!Excellent is Our Goal
Get Started in 4 Easy Steps….
Will it help with my crowded/crooked teeth?
Our providers take a case-by-case approach to help your child breathe better at night and promote a healthy airway. That’s our main goal, no doubt about it. But here’s the exciting part: along the way, we often see some fantastic bonuses. We can help your child achieve a beautiful smile and maintain a healthy tongue posture. And guess what? As the magic happens to promote jaw growth, we create more space for those teeth to fit perfectly in their mouth. Say goodbye to crowded teeth if we achieve that goal!
However, based on the individual goals and expectations, your child might still need a little help from orthodontics to get that perfectly aligned end result. But here’s why we do what we do: we want your child to have the best shot at a good night’s rest and improved breathing. Because when they can breathe better, guess what? They become better sleepers. And when they sleep well, they become better learners. It’s a win-win situation!
So let’s join forces, give your child the gift of proper rest and improved breathing, and watch them blossom into a learning superstar. Let’s make their journey to a healthier airway an exciting and rewarding one!
Is O.A.S.I.S Wellness Center covered by insurance?
Good news! Although we do not partner with any Insurance companies, you have the option to seek reimbursement for orthodontic services through your dental insurance company. We will be happy to assist with this process by providing the necessary procedure codes and forms. However, it’s important to note that your dental plan might have some limits or exclusions on the coverage amount for orthodontics. For instance, there could be an annual maximum or a waiting period between dental treatments. Some plans may also have a lifetime maximum for orthodontic treatment.
To better understand your plan, it’s best to reach out directly to your Medical/Dental insurance company directly. They’ll be able to provide you with the specifics related to your coverage and answer any questions you may have. It’s always good to stay informed and make the most of your insurance benefits!
What qualifies your doctors to treat my child?
Our doctors are not just your regular dentists—who traditionally spend their days performing an assortment of procedures such as crowns, fillings, veneers, Jacks of all trades if you will. At OASIS Wellness Center, this kind of specialized dentistry is all we do so our highly qualified professionals are ready to take on the challenge of multidisciplinary care for patients with sleep-related breathing disorders. These dental superheroes hold current dental licenses, but that’s not all! They’ve also received special training in the exciting fields of Development, Airway, and Dental Sleep Medicine.
And here’s the best part: they’ve already worked their magic on hundreds of kiddos, providing top-notch developmental and airway therapy. So rest assured, you’re in great hands with our experienced team. Let’s get started on your journey to better sleep and improved breathing!
What are the benefits of breathing through the nose?
Your nose is a superhero when it comes to safe, efficient, and proper breathing. It rocks some incredible powers, including:
Filtering out the bad stuff: That slime and those nasal hairs? They work like tiny bouncers, keeping dust, allergens, and pollen from crashing your lungs’ party.
Moisturizing like a pro: Your nose knows how to add some moisture to the air you breathe. It warms things up and adds a touch of hydration, so your lungs can handle it like a champ.
Boosting circulation with nitric oxide: When you take a breath through your nose, it’s like your nose high-fiving your blood vessels. It releases nitric oxide (NO), a fancy vasodilator that helps widen those blood vessels. That means better oxygen flow throughout your body.
So, next time you take a breath, give your nose a little nod of appreciation for all the incredible things it does to keep you breathing like a boss!
How often does my child wear it?
Treatment times during the day will vary by age and case complexity. But generally speaking for kids about 1-2 hours during the day and while sleeping overnight. They’re like little guides, helping with the natural growth and development of your child’s mouth, jaws, and airways. They do an incredible job of counteracting the negative impacts of modern life on their oral health. It’s all about promoting a healthy future! For Adults since the dynamic growth we knew as a child is a thing of the past, it takes more time to stimulate that ever important growth and development. Depending on the appliance system selected, appliance wear could range between 12-16 hours per day. The good news is this includes while you sleep, taking care of the majority of the treatment time.
How long is the treatment?
The treatment time may differ depending on the patient’s starting age and the severity of their case. Don’t worry, though! Your O.A.S.I.S Provider will set treatment goals and provide you with a general idea of how long it might take. There will be multiple progress checks to ensure the case is on track. It’s all about moving forward together!
Making a difference one child at a time!
Your Child’s Health Is Worth It. Period.
Take the free online assessment to see if your child is a candidate and give your kids a better future.
